List Of Root Canal Inflammation 2023. Web the most common causes of root inflammation are and the problems associated with caries and pulpitis. Web sims (1973) suggested that sterility was unattainable in the root canal and that disinfection of the root canal need only be surgically safe.
Root Canal Treatment Micro Endodontics Center from microendocenter.com
It is important to rule out infection, tooth cracks or fractures that can affect the healing process. Web sometimes, complications can develop after a root canal. Even taking a sip of water can be a painful experience to someone in need of root canal treatment.
Often Times, A Root Canal Is Needed To Treat The Pain And Other Symptoms.
Even though the dentist has removed the nerve root from the tooth, there are still small nerves in the. In later stages, gums may become sore and painful to touch. Web root canal treatment.
The Dentist Makes A Small Cut Into The Abscess, Allowing The Pus To Drain Out.
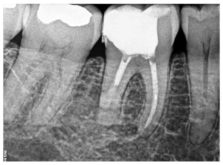
Web the most common causes of root inflammation are and the problems associated with caries and pulpitis. Web root canal infections are caused by microorganisms that have penetrated the dental pulp and colonized the root canal system. However, pitt ford 1982 ) demonstrated that a high incidence of persisting periradicular inflammation occurred from canals that had not had all the microorganisms removed by the combination of.
Over The Past Few Decades, Substantial Emphasis Has Been Placed On Understanding The Pathobiology Of Root Canal Infections, Including The Microbial Composition, Biofilm Biology And Host Responses To.
Patients typically need a root canal when there is inflammation or infection in the roots of a tooth. Symptoms may include severe pain, fever, swelling, an uneven bite (when you bite down, the treated tooth feels high), or you feel unwell. Open up (incise) and drain the abscess.
Web There Are Several Signs And Symptoms That May Be Indications Of An Infection Or Nerve Damage In Your Tooth.
Web how does endodontic treatment save the tooth? Web sometimes, complications can develop after a root canal. Anyone who's ever suffered from pulp inflammation or infection knows the hurt of toothache, which only gets worse the longer it goes untreated.
Will I Feel Pain During Or After The Root Canal?
Web here are some common signs and symptoms of a root canal infection that mean you should schedule another visit to your dentist: Swollen gums is a symptom that is often associated with a root canal inflammation. A root canal infection, also known as endodontic infection, occurs when bacteria invade the innermost part of the tooth, known as the pulp, causing inflammation and potential damage to the surrounding tissues.
Table Of Content Lock in Your Interest Rate Common closing day delays How Long Does It Take to Close a Mortgage? Timeline to Close Get to Closing Day Faster With a Cash Offer Legal Step 1: Understanding Your Documents Further, “clearing” the title could take weeks, if not months, depending on whether title claims are discovered. A property title search examines public records to confirm the seller is the property's legal owner — and has the right to transfer ownership to you. It also reveals if there are any claims, liens, easements, or restrictive covenants that could affect your purchase. Buying a home can be equal parts adventure and anxiety, hustle and hurry-up-and-wait. After all, you'll be eager to get into your new home — but home buying is a legal transaction that doesn't happen quickly. Lock in Your Interest Rate What Is the Average Time to Sell a House? - Zillow Research What Is the Average Time to Sell a House?. Posted: Tue, 26 Nov 2019 08:00:00 GMT [ sou...
Table Of Content Affordable and Secure Parking Fort Lauderdale Airport & Cruise Parking Reservations Fort Lauderdale Airport and Cruise Parking Process FORT LAUDERDALE CRUISE PARKING How Much is Parking at Port Everglades Cruise Terminal? All About Fort Lauderdale Cruise Parking Off-Site Cruise Parking at Port Everglades Port Everglades has on-site parking for cruise guests with two parking garages and several parking lots totaling over 5,500 spaces. Safe Cruise Parking is a company dedicated to giving you safe and affordable cruise parking for your vehicle while you are on your cruise vacation. We also offer you more affordable parking than parking directly at the port. Then, since you are not parking directly at the port, we offer a free shuttle to the port. Affordable and Secure Parking Fort Lauderdale Airport & Cruise Parking But with this guide, you’ll be ready to choose the parking option that is best for you and your budget. Situated south of the airport, th...
Leasons Learned from a Family Canoe Trip Across Canada Family from www.pinterest.com A family canoe trip can be a great way to connect with nature and spend quality time together. However, sometimes things don't go as planned, and what was supposed to be a fun adventure can quickly turn into a disaster. In this blog post, we will explore the various challenges and pitfalls that can arise during a family canoe trip gone wrong, and provide some tips on how to avoid or overcome them. One common pain point during a family canoe trip is getting lost. Whether it's due to a lack of navigation skills or simply not paying attention to landmarks, losing your way in unfamiliar waters can be a stressful and potentially dangerous situation. Another challenge is dealing with unpredictable weather conditions. Storms, strong winds, and heavy rain can make paddling difficult and increase the risk of capsizing or getting stranded. The target of a family canoe trip gone wrong is to ensure the saf...
Comments
Post a Comment